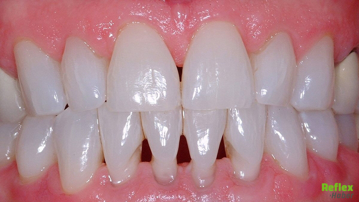
Diş eti çekilmesi, diş etinin diş yüzeyinden geriye doğru hareket etmesiyle ortaya çıkan bir ağız sağlığı sorunudur. Dişlerin olduğundan uzun görünmesi, hassasiyet artışı, fırçalama sırasında kanama gibi belirtilerle kendini gösterir. İlerleyen durumlarda diş kökü açığa çıkar. Bu durum hem estetik hem fonksiyonel risk oluşturur.
Arama hacmindeki artış, belirtilerin günlük yaşamı doğrudan etkilemesiyle bağlantılı. Özellikle hassasiyet şikâyeti yaşayan kişiler çözüm yollarını araştırır. Fırçalama sırasında oluşan rahatsızlık hissi, soğuk-sıcak temasında ortaya çıkan ağrı, kullanıcıların hızlı şekilde bilgi aramasına neden olur.
Diş Eti Çekilmesi Neden Olur? Ne İyi Gelir?

Diş eti çekilmesi çoğu vakada diş eti hastalıklarıyla ilişkilidir. Bakteri kaynaklı enfeksiyonlar diş etini zayıflatır. Destek dokular zarar görür. İlerleyen süreçte diş eti geri çekilir. Bu durum kontrol edilmediğinde kalıcı hasara yol açar.
H2 sonrası süreçte öne çıkan nokta, alışkanlıkların belirleyici rolü olur. Günlük bakım rutini küçük hatalar içerdiğinde etkisi zamanla büyür. Sert kıllı fırça kullanımı, diş etine baskı uygulayan teknikler dokuyu aşındırır. Kısa sürede fark edilmeyen hasar ilerleyerek çekilmeye dönüşür. Etki birikimlidir.
Ağız hijyeninin yetersiz olması bir diğer temel faktördür. Plak birikimi temizlenmediğinde diş taşı oluşur. Bu sert tabaka diş eti dokusunu tahriş eder. İltihap gelişir. Süreç devam ettiğinde diş eti geriye çekilir.
Diş sıkma alışkanlığı önemli bir etki yaratır. Gece fark edilmeden gerçekleşen baskı diş etini zorlar. Dişlerin yanlış dizilimi de benzer şekilde yük dağılımını bozar. Bazı bölgelerde yoğun baskı oluşur. Bu alanlarda çekilme daha hızlı ilerler.
Hormonal değişimler de süreci etkiler. Doku hassasiyeti artar. Genetik yapı belirleyici olabilir. Ailede benzer şikâyet bulunan kişilerde risk daha yüksektir. Yaş ilerledikçe dokuların dayanıklılığı azalır. Bu durum süreci hızlandırır.
Belirtiler genelde erken dönemde hafif seyreder. Hassasiyet ilk sinyal olur. Soğuk içeceklerde kısa süreli ağrı hissedilir. Diş etinde kızarıklık görülür. Fırçalama sırasında kanama oluşabilir. Bu işaretler dikkate alınmadığında ilerleme devam eder.
Tedavi yaklaşımı sürecin seviyesine göre değişir. İlk aşamada doğru fırçalama tekniği büyük fark yaratır. Yumuşak kıllı fırça tercih edilir. Dairesel hareketlerle temizlik yapılır. Diş etine baskı uygulanmaz. Bu değişim tek başına ilerlemeyi yavaşlatabilir.
Profesyonel temizlik önemli bir adımdır. Diş taşı temizliği ile iltihap kaynağı ortadan kaldırılır. Diş hekimi kontrolü düzenli hale getirildiğinde risk azalır. Erken müdahale sürecin kontrolünü kolaylaştırır.
Beslenme alışkanlıkları da destekleyici rol oynar. C vitamini içeren gıdalar diş eti dokusunu güçlendirir. Su tüketimi ağız içi dengeyi korur. Sigara kullanımı dokunun iyileşmesini zorlaştırır. Bırakılması süreci olumlu etkiler.
İleri vakalarda cerrahi müdahale gündeme gelir. Kök yüzeyi düzeltme işlemleri uygulanır. Gerekli durumlarda doku destekleyici yöntemler tercih edilir. Amaç diş kökünü korumaktır.
Diş eti çekilmesi erken fark edildiğinde kontrol altına alınabilir. Düzenli bakım alışkanlığı belirleyici olur. Küçük belirtiler dikkate alındığında daha büyük sorunların önüne geçilir. Ağız sağlığı bu şekilde uzun süre korunur.





